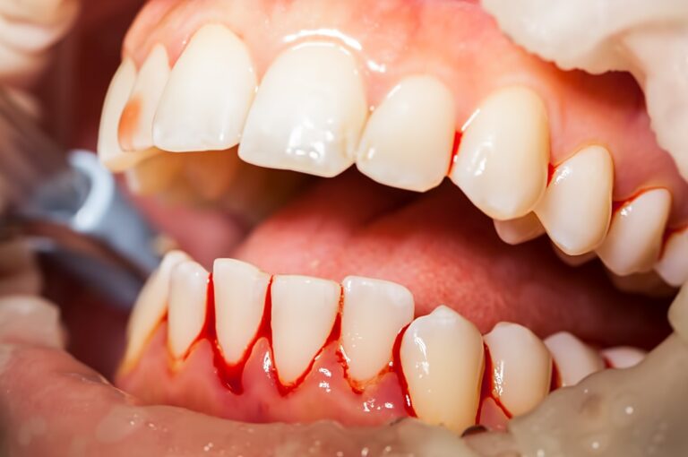
Beim morgendlichen Zähneputzen färbt sich der Schaum plötzlich rötlich oder beim Biss in einen knackigen Apfel zeigen sich Blutspuren. Viele Menschen kennen gelegentliches Zahnfleischbluten und schieben es auf zu kräftiges Putzen. Doch Zahnfleischbluten sollte niemals als Bagatelle abgetan werden. Es kann ein erstes Warnsignal für eine Entzündung sein, die unbehandelt zu ernsthaften Problemen führt. In […]
Unser Blog
Auf unserem Blog finden Sie spannende Beiträge und hilfreiche Tipps zu den Themen Zahngesundheit und Zahnpflege. Schauen Sie regelmäßig vorbei und entdecken Sie interessante Einblicke in die Welt der modernen Zahnmedizin!
Mundgeruch bekämpfen: Ursachen finden und dauerhaft beseitigen
Ein wichtiges Gespräch steht an, doch plötzlich macht sich Unsicherheit breit. Der Abstand zum Gegenüber wird größer, die Hand wandert reflexartig vor den Mund. Mundgeruch betrifft mehr Menschen, als viele denken, und kann das Selbstbewusstsein erheblich beeinträchtigen. Dabei lässt sich das Problem meist gut behandeln, wenn die Ursache bekannt ist. Als Zahnärztin in Berlin-Neukölln unterstützen […]
Kinderzähne gesund halten: die besten Tipps für Eltern
Morgens vor dem Kindergarten wird es oft hektisch: Das Frühstück muss schnell gehen und beim Zähneputzen gibt es Diskussionen. Viele Eltern kennen diese Situationen nur zu gut. Dabei ist gerade die Zahnpflege in den ersten Lebensjahren entscheidend für die spätere Zahngesundheit. Milchzähne sind nicht nur Platzhalter – sie beeinflussen die Sprachentwicklung, das Kauen und das […]
Ozempic und Zahnschmelz: Warum die Fettwegspritze Ihren Zähnen schaden kann
Übergewicht belastet nicht nur das Selbstbewusstsein, sondern auch die Gesundheit. Immer mehr Menschen setzen daher auf medikamentöse Unterstützung wie Ozempic, um erfolgreich abzunehmen. Das Medikament wirkt als GLP-1-Rezeptoragonist über den Inkretin-Effekt, der erhöhte Blutzuckerwerte reguliert, und wird mittlerweile häufig zur Gewichtsreduktion eingesetzt. Die Erfolge sind beeindruckend, doch was viele nicht wissen: Die Behandlung kann schwerwiegende […]
Veneers: für wen kommen sie infrage?
Makellose, weiße Zähne gelten als Standard für ein gepflegtes Erscheinungsbild. Mit zunehmendem Alter oder durch äußere Einflüsse können jedoch Verfärbungen, kleine Schäden oder Unregelmäßigkeiten an den Zähnen entstehen. Veneers haben sich als beliebte Lösung für ästhetische Zahnprobleme etabliert, da sie auf minimalinvasive Weise zu einem perfekten Lächeln verhelfen können. Als Experten und Expertinnen für ästhetischen […]
Unsichtbare Zahnschienen: Für welche Zahnfehlstellungen sind sie geeignet?
Wenn die Zähne nicht perfekt ausgerichtet sind, kann das sowohl ästhetische als auch funktionale Probleme verursachen. Während früher hauptsächlich auffällige Metallspangen zur Korrektur von Zahnfehlstellungen eingesetzt wurden, bieten heute unsichtbare Zahnschienen eine diskrete Alternative. Diese durchsichtigen Aligner haben die Kieferorthopädie revolutioniert und ermöglichen es Patienten und Patientinnen, ihre Zähne zu korrigieren, ohne dass andere die […]
Wurzelbehandlung oder Zahn ziehen: Wann kann der Zahn nicht mehr erhalten werden?
Zahnschmerzen gehören zu den unangenehmsten Erfahrungen im Alltag. Besonders kritisch wird es, wenn tiefe Karies, Infektionen oder Traumata den Zahnnerv erreicht haben und die Frage im Raum steht: Kann der Zahn durch eine Wurzelbehandlung noch gerettet werden oder ist eine Extraktion unumgänglich? Diese Entscheidung beeinflusst nicht nur Ihre unmittelbare Schmerzlinderung, sondern auch Ihre langfristige Zahngesundheit […]
Welcher Zahnersatz ist besser: ein festsitzender Zahnersatz oder ein herausnehmbarer Zahnersatz?
Ein strahlendes Lächeln und eine gute Kaufunktion sind nicht nur eine Frage der Ästhetik, sondern auch der Lebensqualität. Die Wahl des passenden Zahnersatzes beeinflusst nicht nur Ihr Wohlbefinden, sondern auch Ihre Gesundheit und Ihr Selbstbewusstsein. Ob festsitzender Zahnersatz oder herausnehmbare Option – jede Lösung hat ihre Vor- und Nachteile. Ein schlecht passender Zahnersatz kann zu […]
Was zahlt die Krankenkasse beim Zahnarztbesuch? Leistungen im Überblick
Regelmäßige Vorsorgeuntersuchungen und einfache Zahnfüllungen gehören zu den Standardleistungen, die von den meisten Krankenkassen übernommen werden. Doch wie sieht es aus, wenn Sie eine professionelle Zahnreinigung oder ästhetische Behandlungen wie Veneers wünschen? In solchen Fällen stellt sich oft die Frage, ob die Krankenkasse die Kosten trägt oder ob Sie diese selbst übernehmen müssen. Im folgenden […]
Wie oft sollte ich zum Zahnarzt gehen? Die ideale Routine für gesunde Zähne
Regelmäßige Zahnarztbesuche sind essenziell, obwohl oft andere Prioritäten den Alltag bestimmen. Diese Besuche sind der Schlüssel zur langfristigen Gesundheitsvorsorge. Typische Ausreden sind Zeitmangel, Nervosität oder der Gedanke, ein Zahnarztbesuch sei nicht notwendig. Diese Denkweise führt jedoch dazu, dass kleine Zahnprobleme sich zu großen, schmerzhaften Angelegenheiten entwickeln können. Regelmäßige Kontrollen beugen Komplikationen vor. dental gallery, Ihre […]






